【图】有牙结石怎么自己清洁 牙结石的治疗与防护

2016/4/10 18:44:48 作者:zd-wuchu… 来源:伊秀美容网
每天按时早晚刷牙、饭后漱口是防治牙石形成的最重要措施。使用保健牙刷,选用含氟牙膏,采用正确的方法-竖刷法进行刷牙。这样不仅可清除食物残渣、牙面菌斑、牙垢污物

乌贼骨刷牙法:取乌贼骨50克研成细末,掺入牙膏内刷牙,每日2次,可除黑色牙垢。
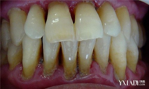
结石又称牙石,通常存在于唾液腺开口处的牙齿表面。如下颚前牙的舌侧表面,上颚后牙的颊侧表面和牙齿的颈部,以及口腔黏膜运动不到的牙齿表面等处。牙结石开始是乳白色的软垢,会因逐渐的钙化而变硬。它是由75%的磷酸钙,15%~25%的水、有机物、磷酸锰、矿酸钙及微量的钾、钠、铁所构成。并呈现出黄色、棕色、或者黑色。牙结石是牙周病发展的一个重要致病因素。不注意养成良好的口腔卫生习惯,即使彻底洁治后,牙结石很容易很快再次沉积在牙齿表面。
治疗与防护
1.刷牙
早晚刷牙、饭后漱口是防治牙石形成的最重要措施。采用正确的方法-竖刷法进行刷牙,纠正横刷法。这样不仅可清除食物残渣、牙面菌斑、牙垢污物,防止牙结石的形成和沉积,而且还能起到按摩牙龈,促进血液循环,增强牙周组织的抗病能力的作用。
2.饮食
合理营养,粗细搭配。多吃富有维生素的粗纤维食物,如肉、蛋、各种蔬菜和水果,充分咀嚼以利于牙面清洁。少吃甜食及黏性很强的食物,不吃零食。
3.口腔健康检查
每半年进行一次口腔健康检查,每年进行2~3次全口洁牙,使牙面、牙颈部经常处于洁净状态。
4.洗牙

超声波洗牙,是针对清除牙齿结石部分。因为牙结石更容易造成牙菌斑的堆积,造成牙龈炎、牙龈出血,牙周病。在治疗的同时,齿颈部,邻接面的结石去除后,牙齿也会有美白的表现。洗牙的弊端有比较痛,会有出血现象,洗后牙齿表面比较粗糙,牙渍牙石还会再次出现。提倡定期、安全洗牙。

上一页123下一页

    有牙结石怎么自己清洁